¡No creerás lo que ves! Los 10 rayos X más insólitos del mundo
En el increíble mundo de los Rayos X todo puede pasar. Así lo han demostrado diversas imágenes que parecieran sacadas de una película de terror, e incluso otras tan insólitas que debemos mirarlas dos veces para creer su contenido.
Lo que muchos desconocen es que la historia de estas peculiares imágenes se remonta a 1895, año en que el físico alemán Wilhelm Conrad Röntgen las descubrió mientras experimentaba con los tubos de Hittorff-Crookes y la bobina de Ruhmkorff para investigar la fluorescencia violeta que producían los rayos catódicos.
Lee también: ¿El aroma más extraño del mundo? Así huele la nueva fragancia ‘Perfume Espacial’
Según cuenta la historia, luego de que el físico cubriera el tubo con un cartón negro para eliminar la luz visible, notó un débil resplandor proveniente de una pantalla con una capa de platino-cianuro de bario, la cual desaparecía al apagar el tubo.
Luego de usar placas fotográficas para demostrar que los objetos eran algo transparentes a los rayos X, dependiendo de su espesor, llevó a cabo la primera radiografía humana usando la mano de su mujer, Bertha, según indicó la Sociedad Argentina de Radiología.
Tras ello, decidió darles el nombre de “rayos incógnita” o “rayos x”, ya que no sabía qué eran sino sólo que eran provocados por los rayos catódicos al colisionar contra ciertos materiales.
En honor a este tipo de imágenes, que en 2016 cumplen 121 años de vida, desde Página 7 recopilamos 10 de los Rayos X más insólitos del mundo, que de seguro te dejarán asombrado.
1) Como la radiografía de esta muchacha de China que se tragó una cuchara de metal de 14 centímetros mientras tomaba helado, luego de que una amiga la asustara saludándola de improviso… ¡Qué tremendo!

Europics | The Telegraph
2) O esto que realmente es de otro mundo: la foto que ves abajo corresponde a una persona que se tragó dos tenedores, un lápiz de pasta y un cepillo de dientes.

Barcroft | The Telegraph
3) ¡Qué dolor! Esta imagen muestra cómo un clavo “se las arregló” para alojarse entre el dedo medio e índice de este pobre hombre.

Barcroft | The Telegraph
4) ¡Wow! Este Rayo X coloreado muestra cómo un alfiler de gancho se quedó atascado en el esófago de una mujer.

Barcoft | The Telegraph
5) O este de una señora china que casi se murió atragantada al tratar de limpiar su garganta con una espátula de cocina… ¡Qué esperaba!

Rex Pictures | The Telegraph
6) Sin palabras… Así luce un pie “atacado” por un tenedor suelto en la cocina. ¡Que no te pase!

Barcroft | The Telegraph
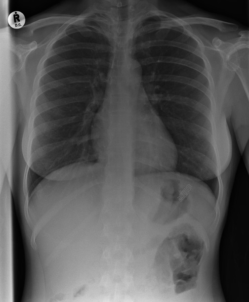
7) Lo que ves a continuación, es el Rayo X de un niño de 7 años que se tragó una llavecita… ¡Ouch!

Barcroft | The Telegraph
8) ¿Y qué opinas de ésta? un estadounidense de 21 años sobrevivió de milagro luego de que la motosierra con la que trabajaba cortando árboles se le “enrollara” en su pecho.

Allegheny Health Network | The Telegraph
9) ¡WOW! Este hombre oriundo de China no podría tener más mala suerte… mientras caminaba hacia su casa, fue alcanzado por un par de tenazas que un vecino lanzó contra un perro callejero que le robó comida. Los médicos del hospital local lograron salvarle la vida.

Quirky China News | The Telegraph
10) ¡Qué locura! Esta última foto muestra el Rayo X de una mujer que se tragó un cepillo de dientes… como parte de una apuesta.

Barcroft | The Telegraph
¿Qué opinas de estas imágenes? Cuéntanos en los comentarios cuál fue la que más te impresionó.