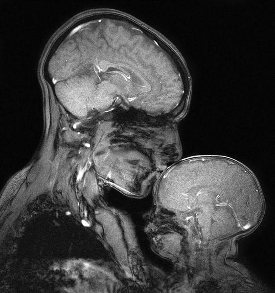
La increíble imagen de escáner cerebral que capturó la unión entre una mamá y su bebé
Se sabe que la conexión entre una madre y sus hijos puede ser uno de los lazos más fuertes, al punto de que las progenitoras “presienten” cuando algo anda mal con sus niños, aunque no estén a la vista. Y si bien esta conexión no puede ser cuantificada y una neurocientífica logró llevarla a un nuevo nivel.
La investigadora Rebecca Saxe decidió realizarse una resonancia magnética mientras sostenía a su bebé de 2 meses, Percy, creando la primera imagen de este tipo. Ella y sus colegas lo hicieron por simple curiosas y no para algún diagnóstico o estudio en específico.
Lee también: Mujer postergó tratar su cáncer para salvar al bebé en su vientre: Murió tras el parto
Rebecca se dedica a medir cómo la sangre de los niños fluye a su cerebro mientras les leen un cuento, así que le llamó la atención ver cómo reaccionaban ante el contacto. Los resultados fueron fascinantes: “Algunas personas lo ven y miran las principales diferencias lo delgado que es su cráneo, el pequeño espacio que existe entre su cerebro y el mundo exterior. Es tan frágil, como una pequeña caparazón”, declaró al portal Today.com.
Cabe destacar que el cerebro de su bebé no tiene mielina, un componente que aisla las fibras nerviosas. “En la otra mano, puedes ver lo similar que es al cerebro de la madre. Lo cercanas que son las medidas”, explicó la neurocientífica.
Como la resonancia tarda varios minutos, debió esperar a que su bebé se durmiera para que pudiese quedarse quieto al interior de la máquina. Pero la mezcla de arte, ciencia y maternidad hizo que el esfuerzo valiera la pena.
“La madre y el niño es un poderoso símbolo de amor e inocencia, de belleza y fertilidad. A pesar de estos valores maternales y de que las mujeres que los abrazan podrían ser veneradas, son usualmente vistos en oposición a otros valores como investigación, intelecto, progreso y poder. Pero yo soy una neurocientífica y trabajé para crear esta imagen; y además soy la madre en ella, acurrucada en la máquina junto a mi bebé”, concluyó.

