Fernanda Cornejo mostró radiografía tras compleja operación en su espalda: “Había que chequear”
En junio de 2024, Fernanda Cornejo reveló que cuando tenían solo 10 años de edad debió someterse a una compleja operación en su espalda.
Lo anterior, durante su visita al programa Podemos Hablar de Chilevisión, donde contó que su cirugía fue para tratar su escoliosis idiopática.
“Fue como ‘te tenemos que operar, pero hay que esperar que se cierre el cartílago del crecimiento’. Entonces ahí lo fuimos chuteando”, agregó.
Sin embargo, cuando Fernanda Cornejo llegó a cuarto medio se agravó su situación de salud.
“Cuando se te mueven las vértebras, se mueven las costillas. En un minuto me hacen una resonancia y ven que estaba al borde de que se me perforara el pulmón”, recordó.
De hecho, la joven comentó que “tengo cuatro prótesis de titanio y alrededor de 68 pernos en la espalda. Esta fue una operación grave. Iba a durar cinco horas y terminó durando 10″.
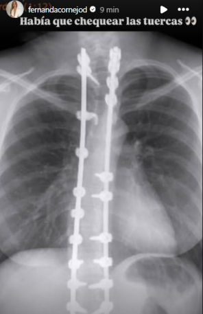
Fernanda Cornejo tuvo control por su espalda
Aunque la cirugía fue un éxito, la hija de Karen Doggenweiler debe constantemente realizarse chequeos para saber si todo continúa bien después de la intervención quirúrgica.
De hecho, Fernanda Cornejo subió durante el lunes una imagen a sus historias de Instagram, en la que se ve una radiografía de su espalda.
Allí, se aprecian las prótesis y pernos que tiene tras someterse a la compleja cirugía por su escoliosis idiopática.
“Había que chequear las tuercas”, escribió brevemente Fernanda Cornejo junto a la imagen, dando cuenta que todo estaba bien después de años de la intervención.

Se debe precisar, que el diagnóstico que afectó a Fernanda Cornejo, según la Clínica de Cleveland, corresponde a “una curvatura lateral de la columna vertebral de causa desconocida”.
“Este tipo común de escoliosis no suele causar síntomas como dolor, a menos que la curvatura sea grave”, explican, además de indicar que se presenta en la etapa de crecimiento de los niños.