Señora descubrió que tenía cáncer de pulmón de una cómica manera: luchó y se recuperó
De acuerdo al Daily Mail, la mujer de 69 años fue a hacerse sus exámenes anuales al médico, pero al momento de realizarse los rayos X se llevó una gran sorpresa con los resultados.
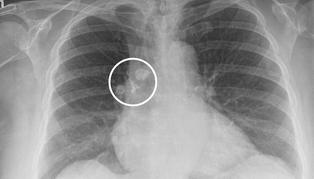
Y es que Marjorie Stowell de Inglaterra, traía puesta su medallita de la suerte, sin embargo, sus doctores le dijeron que para realizarse el examen debía sacársela, sin ningún problema ella siguió el procedimiento, pero hubo algo en los resultados que les llamó la atención a los doctores.
Lee también: Actriz de “Pasión de Gavilanes” muestra impactante foto con huellas de su cáncer de mamas
Se trataba de una extraña mancha en el pulmón derecho, inmediatamente los médicos le indicaron que eso era lo que ocurría cuando no se sacaba las joyas, puesto que dejan extrañas sombras en los exámenes. Bastante sorprendida la mujer les dijo que ella había seguido todas las instrucciones, por lo que ella sí se sacó su colgante.

Daily Mail
Al escuchar esto, los especialistas comenzaron a revisar mejor los resultados y dieron con una lamentable noticia. La “sombra” que se veía en los exámenes se trataba de un tumor.
Al escuchar tal descubrimiento, la señora afirmó que su collar le salvó la vida, ya que si no habría sido por el, quizás jamás los expertos se habrían dado cuanta del cáncer de pulmón al que se estaba enfrentando.

Daily Mail
Stowell cuenta que jamás suelta su medallita, pues es el único recuerdo que le queda de su madre. “Cuando los doctores se dieron cuenta que realmente yo no lo estaba usando, ellos quisieron hacer más exámenes, ahí encontraron el tumor. Recuerdo cuando el doctor me dijo ‘tú tienes cáncer Marj ¿Entiendes?‘”, comentó al diario británico.
Cabe señalar, que la señora fue sometida a una operación para extirparle su tumor con muy buenos resultados. Actualmente ella se encuentra sana y agradecida de que todo fue controlado a tiempo.